Embriología del Iris1
El cierre de la fisura óptica se inicia a los 10mm por su centro, para los 13mm la porción anterior de la fisura ya cerró y solo queda una huella posterior a nivel del tallo óptico. Antes del cierre de la fisura óptica no hay trazas de Iris o de Cuerpo Ciliar, el borde de la copa alcanza solo hasta el ecuador del cristalino.
El desarrollo del Iris se puede dividir en varias etapas:
1- La etapa antes de la aparición de Iris alguno, ( mesodérmico o ectodermico) pero durante la cual el vaso anular se hace visible ( 4ª a 7ª semana ± 10 a 26.0 mm)
2- La etapa de diferenciación de la porción mesodérmica del Iris con la formación de una cámara anterior definitiva (7ª a 11ª semana ± 26 a 45mm)
3- La etapa del crecimiento progresivo de la porción ectodérmica del Iris (11ª a 12ª semana- ± 50 mm)
4- La etapa de diferenciación del Iris ectodérmico con la formación de los músculos de la pupila ( 3er al 8avo mes)
Diagrama: El crecimiento de las 3 olas sucesivas de células mesodérmicas asociadas, con la diferenciación de la cámara anterior: 1era - Membrana de Descemet del Endotelio. 2a - Sustancia propia de la córnea. 3ª - El Mesodermo del Iris y la membrana pupilar E= Epitelio corneal. - R= Retina.- L = Cristalino
Foto tomada de: Ida Mann ; The development of the Human Eye. 1969. Grune & Straton Inc N.Y
El Ectodermo Neural de las paredes de la Copa Optica da origen a las tres regiones del tracto uveal que se reconocen en el adulto como:
A- Pars Optica Retinae
B- Pars Ciliaris Retinae ( subdividida en Pars Plana y Pars Plicata)
C- Pars Iridica Retinae junto con los músculos Constrictor y Dilatator pupillae
Sección de la porción anterior del ojo a los 48.0mm. de un embrión humano
A- Residuo de la Vesícula Óptica Primaria. B- Borde de la Copa Optica. C- Membrana pupilar. F- Haz de Vitreo de Druault. G- residuo de vaso capsulo-pupilar
Foto tomada de: Ida Mann ; The development of the Human Eye. 1969. Grune & Straton Inc N.Y
Dibujo de corte a través de los párpados todavía fusionados, en un embrión humano de 48 mm
A- Residuo de la Vesícula Óptica Primaria. B- Borde de la Copa Optica. C- Membrana pupilar. F- Haz de Vitreo de Druault. G- residuo de vaso capsulo-pupilar
Foto tomada de: Ida Mann ; The development of the Human Eye. 1969. Grune & Straton Inc N.Y
Microfotografía de un feto, mostrando un ángulo inmaduro (48 mm?). Se ve el fornix conjuntival y el párpado, la córnea, el cristalino, una incipiente cámara anterior. El ✻ muestra el margen de la copa óptica; SL es la Linea de Schwalbe y T.M el futuro Trabéculo.
T.M el futuro Trabéculo.- Tomada de Anatomy of the Eye and Orbit- The clinical Essentials- Thomas F.Freddo and Edward Chaum,.2018
Durante el 3er mes ( ± 50 mm) de la gestación, el embrión se convierte en un foetus, el margen de la copa óptica crece hacia adelante y se puede ver como avanza una capa doble de epitelio (separadas ampliamente por el residuo de la cavidad de la vesícula óptica primaria); la capa externa (Pared externa de la copa óptica) es pigmentada; la capa interna (Pared interna de la copa) inicia un crecimiento mas exuberante, a tal punto, que invade y gira en el margen y se aprecian algunos pliegues en la capa interna que todavía no comprometen la capa externa. Se inicia la adhesión de las dos capas epiteliales ectodérmicas, excepto en el extremo marginal de crecimiento, donde el espacio de la vesícula óptica primaria persiste; a este espacio se lo conoce como “el seno marginal”.
A - Iris y cuerpo ciliar de feto de 5 meses ( ±150mm) MS: seno marginal, M: esfínter de la pupila, S: Michel’s spur (espolón que marca el límite posterior del músculo del esfinter.- C.A.I.M: circulo arterial mayor del Iris
Foto tomada de: Ida Mann ; The development of the Human Eye. 1969. Grune & Straton Inc N.Y
B - MS, M, S. detalle a mayor aumento.
Foto tomada de: Ida Mann ; The development of the Human Eye. 1969. Grune & Straton Inc N.Y
En este momento se puede considerar que la punta del margen en crecimiento representa el borde de la pupila y la porción que muestra pliegues, los futuros procesos ciliares. En este estadío en la punta del margen de la copa, aparece el crecimiento de un iris ectodermico pequeño y grueso creciendo hacia el frente por debajo del mesodermo de la membrana pupilar que en ese período ya esta presente (porción anterior de la túnica vasculosa lentis), es mas grueso en su porción periférica; ya existe la cámara y el ángulo en la cámara anterior, pero los procesos ciliares están indiferenciados.
Continua el crecimiento hacia adelante de la punta del margen, aparecen mas pliegues que ahora ya comprometen las dos capas epiteliales adheridas y al desplazarse hacia adelante, deja atrás una zona compuesta simplemente por dos capas de células epiteliales que será la conocida “Pars Plana”. Los pequeños pliegues se organizan a sí mismos con forma radial en los 360º del margen de la copa, en un número de ± 70-75 pliegues y cada uno hace diferenciación en un único proceso ciliar.
A medida que el ectodermo iridiano (Epitelio pigmentado del Iris) avanza en la parte anterior de la copa, el mesodermo asociado en contacto con él se va engrosando y se vasculariza más, formado dos o más capas de vasos.
La porción central de la membrana pupilar permanece delgada pero las arcadas de los vasos en su interior se extienden emitiendo brotes, que forman nuevas arcadas. Este proceso continua y llega a su máximo alrededor del 5º mes de la gestación, cuando la membrana pupilar es suplida por tres y en algunos lugares por cuatro niveles de arcadas vasculares.
Aspecto de la membrana pupilar en un feto humano de 5 meses de gestación.
Foto tomada de: Ida Mann ; The development of the Human Eye. 1969. Grune & Straton Inc N.Y
Durante este periodo de crecimiento ectodérmico y extension de la red vascular en la región del iris, la porción periférica de la membrana pupilar continua engrosando y vasos profundos empiezan a aparecer en ella dando origen a la red vascular del estroma iridiano. Estos vasos son pequeños ramos de las arterias ciliares largas.
Vasos del Iris y del cuerpo ciliar en un feto humano de 290mm. a) Zona de las arcadas de la membrana pupilar b) Zona del esfínter pupilar con sus plexos. c) Vasos radiales arteriales y venosos del estroma iridiano. d) Procesos ciliares y ramos principales del circulo mayor
Foto tomada de: Ida Mann ; The development of the Human Eye. 1969. Grune & Straton Inc N.Y
Diagrama de la apariencia del Iris y la Membrana Pupilar, de un feto humano de 7 meses,vista desde el frente.
Foto tomada de: Ida Mann ; The development of the Human Eye. 1969. Grune & Straton Inc N.Y
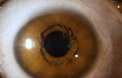
Foto de un Iris humano adulto, con residuos avasculares pigmentados de la membrana pupilar, viniendo del circulo menor. No tiene criptas.
Tomada del archivo fotografico del Dr. CB
El periodo de mayor crecimiento y diferenciación en el borde de la copa es durante el 5º mes de gestación; como las dos capas del epitelio ectodérmico crecen y se extienden sobre una superficie curva cuando alcanzan la superficie anterior del cristalino, pueden llamarse: capa anterior, la capa externa del epitelio y capa posterior la capa interna del epitelio ectodérmico. La capa anterior es pigmentada, y a medida que crece rebasa el margen e inicia la pigmentación de la capa posterior, cuyas células permanecen en forma cúbica y se pigmentan en forma progresiva, hasta alcanzar la porción de la base del cuerpo ciliar en la raíz del iris.
Los vasos de la red vascular, se extienden al mismo ritmo con el ectodermo del Iris y cuando el esfínter de la pupila se diferencia de este, pequeñas ramas capilares de la red, lo invaden llevando mesodermo con ellas. Asi se conforman 2 espacios llamados el plexo inter-esfinteriano en la sustancia del esfinter, y el plexo sub-esfinteriano que yace entre el primero y el epitelio pigmentario del iris que le dio origen.
Este proceso se completa alrededor del 7º mes de la gestación
Diagrama de la vascularización: 1- los vasos mas superficiales compuestos por arterias gruesas y venas contiguas en la parte central de la membrana pupilar formando las arcadas. 2- un conjunto mas profundo en el estroma. 3- Plejo de capilares ( ínter esfinterianos) en la sustancia del esfínter pupilar. 4- Plejo de capilares (sub esfiterianos entre el esfínter y el ep. pigmentario del iris.
Diagrama tomado de: Ida Mann ; The development of the Human Eye. 1969. Grune & Straton Inc N.Y
La capa anterior del ectodermo del Iris desarrolla una diferenciación muy elaborada; dentro de ella, ocurre el desarrollo de dos músculos: el esfínter y el dilatador de la pupila. Estos músculos son una excepción importante a la regla general: “los músculos se desarrollan a partir del mesodermo”. La otra excepción, son los arrectores pilorum de la piel, pero estos se desarrollan a partir del ectodermo superficial, mientras que los músculos de la pupila vienen del neuroectodermo de la copa óptica. Esta diferencia, los señala como un tipo muy primitivo de desarrollo, estando de acuerdo con el hecho de que en muchos animales de bajo orden (especialmente anfibios) el esfínter de la pupila tiene el poder de contraerse bajo el estimulo directo de la luz, estando denervado. Se puede considerar que los músculos del Iris representan una combinación de 2 condiciones, la especializada y la primitiva, ya que aunque poseen inervación y en general solo reaccionan dentro de la cadena del arco reflejo, en condiciones especiales, son capaces de reaccionar por si mismos como receptor del estímulo, conductor y efector (contraerse) sin la intervención de la red nerviosa.
El Sphinter pupillae inicia su aparición alrededor del 4º mes de la gestación, cuando en el protoplasma de las células cúbicas de la capa anterior, en el extremo del borde iridiano del Seno Marginal aparecen trazas de fibrillas; con el tiempo se desplazan levemente hacia atrás dejando el borde libre y se demarcan claramente de sus células germinales, ya que éstas tardíamente adquieren pigmentación y las células musculares nunca se pigmentan. El esfínter queda levemente sumergido dentro de la sustancia de la parte pigmentada del iris y su límite posterior queda marcado por una cresta conocida como la cresta o espolón de Michel (Michel’s Spur).
A los 6 meses aparecen derivados mesodérmicos en forma de fibrillas que contienen capilares que invaden los haces musculares y que finalmente lo separan completamente del ectodermo paternal. El Sphinter Pupillae esta prácticamente completo al 8avo mes.
Diagrama : S - Cresta de Michel; - V.V - pequeños vasos penetrando la masa del esfínter M; - M - el sphinter pupillae; - V - vaso grande de la superficie de la membrana pupilar
Foto tomada de: Ida Mann ; The development of the Human Eye. 1969. Grune & Straton Inc N.Y
El Dilator pupillae empieza a desarrollarse alrededor del 6º mes. En las células columnares de la capa anterior del epitelio iridiano, perifericamente a la cresta de Michel, aparecen finas estriaciones en el tercio anterior de su protoplasma y paralelas al plano del Iris; los núcleos se desplazan hacia la parte posterior y este desarrollo se extiende hasta la raíz del Iris. Estas estriaciones aumentan en número hasta el nacimiento, cuando conforman definitivamente una capa en íntimo contacto con el epitelio iridiano. El dilator pupillae nunca se vasculariza y no crece tejido mesodérmico entre él y el ectodermo; difiere entonces del sphinter, manteniéndose en un estado más primitivo. (3)
Evolución en la formación del músculo dilatador:
Fig 1 A - inicio de aparición de fibras en las células columnares de la hoja anterior del epitelio pigmentario del Iris. B - capa posterior del epitelio pigmetario del Iris.
Diagrama tomado de: Ida Mann ; The development of the Human Eye. 1969. Grune & Straton Inc N.Y
Fig 2 S - capa de fibras del dilatador con los núcleos celulares en el protoplasma posterior.
Diagrama tomado de: Ida Mann ; The development of the Human Eye. 1969. Grune & Straton Inc N.Y
Alrededor del 7º mes la vascularización de la porción mesodérmica del Iris, (estroma iridiano) está llegando a su condición definitiva y el circulo vascular menor se reconoce; la túnica vasculosa lentis ya se ha atrofiado en sus porciones posterior y lateral, e inicia atrofia de su porción anterior (membrana pupilar) afectando en primer lugar su zona central; primero en las arcadas finales del centro los vasos se encogen, pierden circulación y quedan formando pequeñas espirales; el ectodermo iridiano con el esfínter ya se ha profundizado, está a nivel de las segundas arcadas vasculares de la membrana pupilar; cuando progresivamente la segunda arcada se atrofia, la membrana queda separada del margen pupilar y toma la apariencia de 2 capas: una anterior (la membrana pupilar) y otra posterior, el margen de la verdadera pupila. Esa grieta o seudoespacio tiene una extensión muy variable; por lo general, solo se ve en el borde de la pupila, pero puede ocurrir que comprometa la capa superficial de vasos periféricamente. Puede ocurrir que el proceso de atrofia no se detenga en la infancia y continue lentamente a lo largo de la vida, hasta que al final toda la hoja vascular anterior se separe del estroma profundo y quede flotando libre en la cámara anterior unida únicamente en la máxima periferia al estroma iridiano (Iridosquisis).
Lo que generalmente se ve, son parches de atrofia localizados periféricamente al margen pupilar, que toman la apariencia de criptas en el estroma.
El modelado final del Iris adulto, tendrá gran cantidad de variaciones dependientes de la cantidad de atrofia de su hoja anterior y de la pigmentación que desarrolle.
El desarrollo del pigmento en el Iris ocurre después del nacimiento y se define después de los 6 meses. Es de anotar que el esculpido del Iris que se aprecia en los adultos con ojos azules o grises, es debido a la visibilidad de las paredes de los vasos; en los iris muy pigmentados el detalle de la estructura queda oculto.
