Logo

Retina

Los problemas de la Retina y del Vítreo pueden ser causa de una pérdida importante de visión o incluso de ceguera. En algunos casos, la cirugía puede ser beneficiosa si se practica en el momento adecuado, para prevenir una pérdida de visión importante.

La Retina consta de dos partes: la retina periférica y la mácula. Si imaginamos la retina como un círculo con una diana en el centro, la mácula es la diana, muy pequeña pero es la responsable del 90% de nuestra capacidad de discriminación. La zona amplia de retina que rodea la mácula y que constituye el 95% de la misma, se denomina retina periférica. Nos proporciona visión lateral, denominada visión "periférica", es la parte de la retina que actúa cuando vemos alguna cosa situada por fuera del punto de enfoque central.

Puesto que la retina periférica no es capaz de ver los detalles con claridad, no la podemos usar para leer, enhebrar una aguja, conducir ni reconocer una cara. Si vemos a alguien situado hacia nuestro lado, podemos decir de quién se trata porque reconocemos la silueta general de la persona, pero no podemos ver la expresión de su cara.

El Vítreo se parece mucho a la clara transparente del huevo y llena la cavidad central del ojo. El vítreo está adherido a la retina, principalmente en la parte posterior del ojo, al nervio óptico, la mácula y los grandes vasos sanguíneos retinianos.

La Retina puede sufrir una gran variedad de enfermedades y algunas son muy complejas. Su adecuado diagnóstico es la clave para diseñar un plan de tratamiento que disminuya la progresión o pare la enfermedad y se preserve la visón lo mejor posible.

Diagrama del Ojo

Diagrama

Retinografía

Retinografía

Diagnóstico

Las personas con enfermedades de la retina experimentan toda una gama de síntomas que van desde destellos luminosos, moscas volantes o pérdida de la visión periférica hasta la ceguera completa.

Muchas enfermedades se asocian a enfermedades generales del paciente, trauma ocular previo o antecedentes familiares. Para realizar un adecuado diagnóstico el oftalmólogo realiza un examen completo con dilatación de la pupila seguido en algunos casos de exámenes paraclínicos que confirmen el diagnóstico o determinen la extensión del daño existente.

Tratamiento

El objetivo primordial es preservar la visión y disminuir la velocidad de progresión de la enfermedad, pero para cada caso en particular, se deben analizar las opciones posibles.

¿Por qué se considera un problema grave un desgarro en la Retina?

Cuando se produce un desgarro en la retina, el líquido situado en la cavidad vítrea puede pasar a través del desgarro y situarse bajo la retina; poco a poco, el líquido del vítreo pasa a través del desgarro retiniano y se instala debajo de la retina, separándola de la pared posterior del ojo. Esta separación, se denomina desprendimiento de retina y la visión se pierde en el lugar en que la retina se desprende.

Puesto que la mayoría de desgarros se localizan en la retina periférica (o parte lateral de la Retina), el desprendimiento produce en primer lugar pérdida de la visión lateral o periférica. Un paciente puede apreciar una sombra oscura o un velo que procede de un lado, de arriba o de abajo. En la mayoría de los casos, después del comienzo de un desprendimiento, toda la retina se desprenderá finalmente y se perderá toda la visión útil de ese ojo.

Diagrama Desprendimiento de Retina

Diagrama Desprendimiento de Retina

Retinografía Desprendimiento de Retina

Retinografía, Desprendimiento de Retina

¿Quién sufre desprendimientos de la retina?

Algunas personas tienen mayor probabilidad de sufrir un desprendimiento retiniano que otras:

  • Los pacientes con alto grado de miopía
  • Antecedentes familiares de desprendimiento de la Retina
  • Los pacientes que sufrieron un desprendimiento de la Retina en el otro ojo.
  • Los pacientes que presentan adelgazamientos en la retina (llamada "degeneración reticular") u otros cambios degenerativos tienen un mayor riesgo
  • Los pacientes intervenidos de cataratas tienen una posibilidad del 1% al 2% de desarrollar un desprendimiento de retina.

A todas las personas que se encuentren en uno de estos grupos de riesgo, se les debería practicar regularmente un minucioso examen y se las debería atender inmediatamente si experimentan bruscamente destellos luminosos, nuevas moscas volantes o pérdida de la visión periférica.

¿Qué opciones de tratamiento existen?

Existen varios tratamientos; Si la retina está desgarrada pero sin desprendimiento, se puede realizar una fotocoagulación (pequeñas quemaduras con laser) o una la criopexia (congelamiento en pequeñas áreas) para mantener la retina adherida efectivamente y prevenir el desprendimiento.

Si la retina está desgarrada y desprendida es más complejo y se requiere tratamiento quirúrgico con técnicas como el cerclaje escleral, la retinopexia neumática o la vitrectomía.

La Retinopatía Diabética es la primera causa de ceguera en U.S.A. y una de las más importantes en nuestro medio. El 25% de diabéticos tienen alguna forma de retinopatía y sólo un 10% no la presenta durante su vida.

Desprendimiento de Retina

Desprendimiento de Retina

Visión Normal

Visión Normal

¿Por qué se produce la Retinopatía Diabética?

Al tener niveles altos de azúcar (glucosa) en la sangre, como los generados por la Diabetes, se produce daño del endotelio vascular (parte importante de la pared de los vasos sanguíneos) que afecta la totalidad del sistema circulatorio del cuerpo, incluyendo los vasos sanguíneos de la retina en el ojo.

¿Cómo produce ceguera con la Retinopatía Diabética?

La retina es la parte del ojo más importante para la visión. Es allí donde la luz se convierte en impulsos eléctricos para que las imágenes sean interpretadas por el cerebro. La diabetes puede llevar a un mal funcionamiento de la retina de tres formas principales:

  • Edema Macular: Acumulación anormal de líquido entre las finas capas de la retina (en la mácula, el sitio de mayor sensibilidad de la retina). El engrosamiento de la mácula impide su función adecuada. El líquido proviene de los vasos sanguíneos cuyas paredes tienen una función alterada a causa de la Diabetes.
  • Hemorragia Vítrea: En fases más avanzadas de la retinopatía, se forman dentro del ojo nuevos vasos sanguíneos (neovasos) que se rompen con gran facilidad. Al romperse liberan sangre dentro del ojo, lo que impide el paso de la luz hacia la retina.
  • Desprendimiento de Retina: También en fases avanzadas de la enfermedad, se puede desprender la retina, principalmente por tracción ejercida por el vítreo y los neovasos. Al desprenderse la retina, pierde su fuente de nutrientes y por lo tanto su función.
Retinopatía Diabética

Retinopatía Diabética

¿Cuáles son los grados de Retinopatía Diabética?

Retinopatía Diabética No Proliferativa (RDNP): En un individuo sano, los vasos sanguíneos de la retina solo permiten la salida de nutrientes y oxígeno hacia la retina (no de líquido o plasma). En las personas con retinopatía diabética el contenido de los vasos (sangre y plasma) puede salir de ellos de manera anormal debido a la lesión de sus paredes por los altos niveles de glucosa. Esta acumulación de líquido en la retina dificulta su funcionamiento.

Retinopatía Diabética Proliferativa (RDP): Debido a la continua lesión que sufren los vasos sanguíneos por los elevados niveles de glucosa, muchos de ellos terminan por cerrarse completamente impidiendo la llegada de sangre y nutrientes a la zona de la retina que antes irrigaban. Estas zonas de la retina intentan obtener oxígeno y nutrientes produciendo nuevos vasos sanguíneos. Desafortunadamente estos nuevos vasos (neovasos) no tienen una función normal y crecen no sólo dentro de la retina, sino hacia el vítreo (hacia el centro del ojo, donde no debe haber vasos sanguíneos). Son estos neovasos los que pueden sangrar y producir hemorragias vítreas o pueden halar la retina para desprenderla.

¿Cuáles son los factores que aumentan el riesgo de presentar retinopatía diabética?

Niveles de Glicemia: Niveles altos de glucosa aumentan de gran manera el riesgo de que se inicie o avance la retinopatía.

Tiempo de Evolución de la Diabetes: Para los diabéticos tipo I (Diabetes Mellitus Insulinodependiente o Juvenil), la retinopatía diabética suele presentarse 5 años después de hacerse el diagnóstico de diabetes. Para diabéticos tipo II (Diabetes Mellitus no Insulinodependiente, la forma mas común de diabetes) la retinopatía se presenta aproximadamente 10 años después del diagnóstico de diabetes (debe tenerse en cuenta que en muchos casos la diabetes se diagnostica tarde y por lo tanto la retinopatía aparece antes).

Embarazo: Aumenta el riesgo de presentar RDNP( Retinopatia Diabética No Proliferativa) y produce progresión acelerada de la misma si ya la tenía.

Raza: Es más frecuente la retinopatía diabética en personas de raza negra.

Dislipidemia: Niveles altos de colesterol (LDL) aumentan el riesgo.

¿Cuáles son los síntomas de la Retinopatía Diabética?

Los primeros síntomas que se presentan son:

  • Disminución de la visión nocturna.
  • Pobre recuperación de visión posterior a exposición a luz brillante.
  • Alteraciones en la visión de colores (principalmente azul y amarillo).

Es importante anotar que para que aparezcan síntomas, la enfermedad debe estar en fases avanzadas donde el tratamiento no es tan efectivo. Es por eso mejor controlar la retinopatía antes de que aparezcan los síntomas.

¿Cuáles son las precauciones que se deben tener con esta retinopatía?

Las precauciones que se deben tener cuando se diagnostica la enfermedad es ante todo, controlar los niveles de glucosa. Se debe visitar un endocrinólogo y un médico oftalmólogo quien decidirá el tipo de tratamiento que se necesita y si se necesita algún examen adicional. Periódicamente es necesaria la realización de una angiografía fluoresceínica de la retina para observar la función de sus vasos sanguíneos.

¿Cuál es el tratamiento para la retinopatiá diabética?

El tratamiento depende del estado de la enfermedad. En estados iniciales puede utilizarse la fotocoagulación con laser. En estados más avanzados se requiere cirugía como la vitrectomía para solucionar hemorragias vítreas o desprendimientos de retina.

En la mayoría de los casos el tratamiento está encaminado a detener el progreso de la enfermedad. Son pocos los casos en los que la visión mejora dramáticamente. Es por eso que el tratamiento ideal es la prevención, para nunca llegar a estados avanzados de la enfermedad. Dentro de la prevención, el factor más importante es el control adecuado de la glicemia.

No permita que usted o un familiar suyo se quede ciego por no controlar su nivel de glucosa en la sangre.

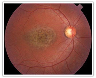
¿Qué es la mácula?

La mácula es la estructura del ojo responsable de la visión central y la que nos permite ver los detalles más finos. Esta visión es la necesaria para conducir, reconocer la cara de las personas y ver de cerca.

¿Qué es la degeneración macular?

Es la causa de pérdida de visión más frecuente a partir de los 60 años de edad, en el mundo occidental. A medida que avanza la edad, por una serie de factores relacionados con la nutrición, la circulación sanguínea y otros, la mácula se puede deteriorar progresivamente. Existen otras formas de degeneración macular que pueden afectar a personas jóvenes o de mediana edad, especialmente si son miopes.

¿Cuáles son sus síntomas?

Los más característicos son: visión borrosa y dificultad progresiva para leer, distorsión en el tamaño y forma de las imágenes, las líneas rectas aparecen onduladas, aparición de manchas en el centro del campo visual, sobre todo son visibles al leer un texto de letra pequeña. A largo plazo, la degeneración macular sólo afecta a la visión central y no conduce a la ceguera total. A partir de los 50 años se la conoce como degeneración macular asociada a la edad.

¿Cuál es el tratamiento de la degeneración macular relacionada con la edad?

Retinopatía Diabética

Retinopatía Diabética

Visión Normal

Visión Normal

El tratamiento depende del tipo de degeneración macular y de su grado de compromiso. Para la DMRE de tipo seco no existe tratamiento que mejore la visión, solo la terapia con multivitamínicos ha mostrado disminuir la progresión de la enfermedad.

La Terapia Fotodinámica es un tratamiento novedoso usado en los centros de referencia para la DMRE de tipo húmedo, que combina la acción de un laser con la de un medicamento que se inyecta por vía venosa. Se ha demostrado que en algunos casos seleccionados es posible detener la enfermedad. Por ello, debe insistirse “cuando una persona observe las líneas onduladas al mirar a una cuadrícula, acuda a un centro de referencia”. Como los ojos son para toda la vida, es recomendable buscar la seguridad de un centro experimentado.

¿Qué son las Membranas Epirretinianas y cómo se tratan?

También conocidas como pucker macular, son formaciones de tejido cicatricial sobre la mácula. Al crecer las membranas ocasionan tracción, lo que se refleja en visión distorsionada y emborronamiento. La terapéutica más adecuada es la observación hasta el momento en que alteran en grado importante la visión; entonces se debe realizar vitrectomía y pelaje de las membranas buscando liberar esas tracciones.

¿Qué son los Agujeros Maculares y cuál es su tratamiento?

La Mácula es el tejido retinal responsable de la visión central y firmemente adherido a ésta, está el Vítreo. El Vítreo con la edad se contrae, se separa de la retina y en ocasiones causa levantamientos de la mácula e incluso agujeros. Es menos frecuente que los agujeros se formen de novo.

Los agujeros maculares completos causan distorsión y pérdida de visión central.

Es importante consultar un médico oftalmólogo ante el menor cambio en la visión, puesto que su detección temprana mejora el pronóstico. El tratamiento para los casos avanzados es la cirugía de vitrectomía, retirando el gel vítreo y la membrana que cubre el agujero; es necesario colocar gas intraocular.

Retinografía, Agujero Macular

Retinografía, Agujero Macular

¿Cómo pueden afectar las obstrucciones arteriales y las trombosis venosas a la visión?

La obstrucción de la arteria central de la retina (la principal arteria de la retina) provoca una severa pérdida de visión que en muchos casos es irreversible.

Las Oclusiones Venosas de la Retina son la segunda patología vascular de la retina después de la Diabetes Mellitus y aparece en general en personas de más de 60 años. En muchos casos se origina una pérdida significativa de la visión en el ojo afectado. El tratamiento más común, es la fotocoagulación con Laser de Argón. En los últimos años se empiezan a desarrollar nuevas técnicas que intentan mejorar la visión.

¿Qué es la uveitis?

La Uveitis es la inflamación de la Uvea (una de las capas del ojo que se encuentra entre retina y esclera. La úvea contiene muchos vasos sanguineos que nutren el ojo. La inflamación de la úvea puede afectar la córnea, la retina, la esclera y otras partes vitales del ojo, afectando la visión.

Hay muchas causas de Uveitis; se puede generar después de cirugía, trauma, infecciones virales (como herpes, sarampión, rubéola), infecciones micóticas (como Histoplasmosis) o por parásitos (como en la Toxoplasmosis); aunque en la mayoría de casos la causa permanece desconocida.

La uveitis se puede relacionar a estados de autoinmunidad e incluso la inflamación severa de un ojo puede resultar en inflamación severa del otro ojo (Oftalmía Simpática).

¿Cuáles son los síntomas?

La inflamación puede causar varios grados de dolor, visión borrosa, ojo rojo, moscas volantes e hipersensibilidad a la luz.

¿Cómo se diagnostica y se trata la Uveitis?

Se diagnóstica mediante un examen clínico de rutina; sin embargo, buscar su causa puede originar una serie de exámenes paraclínicos y métodos diagnósticos adicionales. Para su tratamiento se usan antiinflamatorios e inmunomoduladores en gotas, inyecciones o por vía oral y subsecuentemente se debe tratar su causa.

¿Qué es la Retinopatía de la Prematuridad?

La retinopatía de la prematuridad es la causa de ceguera infantil más importante en paises desarrollados. Se requiere de una vigilancia multidisciplinaria para su detección y tratamiento.

Los niños prematuros o de bajo peso con frecuencia requieren oxígeno hasta que sus pulmones inmaduros se desarrollen. La exposición a altos niveles de oxígeno por largos periodos,puede generar la proliferación y el crecimiento desorganizado de pequeños vasos que causan cicatrices. En algunos niños la Retina es capaz de recuperarse y dejar un daño moderado, pero otros terminan en desprendimiento de la retina y ceguera.

¿Cuál es el tratamiento para la Retinopatía de la Prematuridad?

El objetivo primordial es la detección temprana para realizar una terapia efectiva en el bebé prematuro que fue expuesto a niveles altos de oxígeno para matenerle la vida. Una vez se detecta la enfermedad, el tratamiento varía según el grado de severidad desde la simple observación hasta fotocoagulación laser y la vitrectomía.

¿Qué es el Retinoblastoma?

El Retinoblastoma (RB) es una rara forma de cáncer que afecta las células fotosensibles de la retina. A pesar de ser rara, es la malignidad ocular más frecuente en niños y el tercer cáncer más común en niños, ocurriendo un 90% de estos en niños menores de 5 años.

Existen dos tipos: El primero es hereditario, afecta ambos ojos (ocurre en 10% de los casos), el segundo es no hereditario, afecta sólo un ojo y no posee riesgo aumentado de desarrollar un segundo tumor.

El primer tipo tiene predisposición de por vida a desarrollar otros tipos de cáncer debido a la anormalidad en el gen RB del cromosoma 13 que es un importante gen supresor tumoral. En todos estos casos es importante la consejería genética.

¿Cuáles son las opciones de tratamiento para el Retinoblastoma?

Le detección temprana, mejora enormemente las posibilidades terapéuticas de cura y la preservación de la mayor cantidad de visión, dado que el tratamiento depende del su tamaño y la localización. Si no recibe tratamiento el tumor forma nódulos y crece rápidamente extendiéndose en el globo ocular, la órbita y finalmente llevando a la muerte. El tratamiento depende del estadio y localización de la enfermedad; y existen múltiples opciones como Crioterapia, Termoterapia transpupilar, Braquiterapia y hasta resección quirúrgica.

¿Que es la Retinosis Pigmentária?

La Retinosis Pigmentaria (RP) es un grupo de enfermedades con tendencia a herencia familiar y que causan degeneración progresiva de la retina en ambos ojos. Se inicia como ceguera de predominio nocturno y progresa hacia la pérdida del campo visual periférico. Los síntomas se presentan durante la adolescencia o adulto joven, pero pueden ocurrir a cualquier edad y avanzar durante muchos años hasta la visión en túnel o la ceguera completa.

¿Cuáles son los síntomas?

Los síntomas pueden variar e incluyen la ceguera nocturna (inhabilidad para ajustar la visión a la oscuridad o un muy lento ajuste). Durante los últimos estadíos, visión en túnel (pérdida de la visión periférica donde sólo se ve a través de un pequeño círculo central de frente).

¿Cuales son las opciones actuales de tratamiento para la Retinosis Pigmentária?

Desafortunadamente no existe ningún tratamiento efectivo que lleve a la cura. Las mejores opciones disminuyen la progresión de la enfermedad y la pérdida visual e incluyen terapias con vitaminas. Muchos pacientes logran llevar una vida normal gracias al entrenamiento en clínicas de baja visión y requieren de ayudas visuales (como telescopios, lupas, lentes de aumento y otros) para mejorar su calidad de vida.